current Case
Case 1
Clinical details
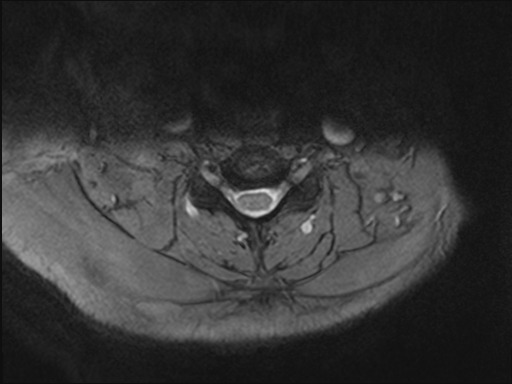
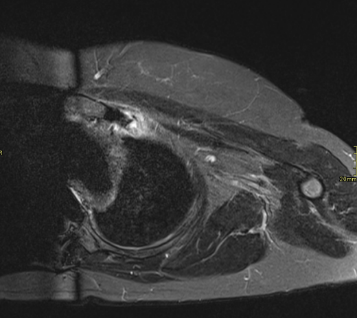
50 yr female was presented with neck and interscapular pain and was referred for MRI covering cervical spine and scapular region. On basis of findings on initial findings, patient was recalled for further MRI imaging.
Imaging
What are the imaging findings and diagnosis?
Archived Cases
No archived cases






